Meet Ailsa

Ailsa, a 34 year old G3P3 woman, presents to your office with post-coital spotting of 6 months duration. She is otherwise healthy. Only medication is OCP.

Her last pap was 5 years ago. Smoker. Social EtOH.

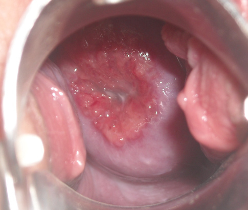
On pelvic exam, you see the following:

What conditions are in your differential diagnosis? (Chose any)

  • Ectropion
  • Cervical dysplasia (LSIL/HSIL)
  • Cervical Cancer
  • Cervical polyp
  • Endometrial hyperplasia
  • Endometrial cancer
  • Fibroids
  • Endometrial polyp
  • Cervicisitis/STI

What tools will you consider to determine the cause of her post-coital spotting? (Chose ANY)

  • PAP smear
  • Swabs for BV
  • Swabs for Chlamydia & Gonorrhea
  • Endometrial biopsy
  • Pelvic Ultrasound
  • Bloodwork

Move on to next week…

Next week…

Map: CURIOS: Ilsa (698)
Node: 19358
Score:

reset

OpenLabyrinth
OpenLabyrinth is an open source educational pathway system

Review your pathway

  • Larmet går
  • Make a mashup
  • Posudzovanie a objektivizácia údajov
  • What a nightmare?
  • Start your case here
  • Mr Franks
  • Informed self-assessment tool
  • Work with hyperlinks
  • Ask to come to surgery now
  • More about his pain
  • Odpoveď A
  • Posudzovanie a objektivizácia údajov
  • A dress issue
  • History
  • Slide 1
  • Meet Ailsa

Reminder

empty_reminder_msg

FINISH

Time is up

Debbuger window